전후사진 346 페이지

본문 바로가기
전체메뉴열기
전체메뉴열기

Total 1,594건 346 페이지

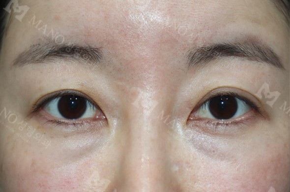
눈밑지방재배치+눈밑지방이식

  • 눈밑지방재배치+눈밑지방이식

  • 칼귀

  • 입술꼭지축소술+입꼬리올립술

  • 내측인중축소술+외측인중축소술+입꼬리올림술

검색

Contact us
상담문의
02.543.1100
주소
서울특별시 서초구 강남대로 605 휴먼타워 14층
진료시간
평일 AM 10:00 ~ PM 07:00
토요일 AM 10:00 ~ PM 04:00
일요일 및 공휴일 휴진

그누보드5

마노성형외과의원 | 서울특별시 서초구 강남대로 605 휴먼타워 14층
사업자등록번호 : 339-52-00585 | 전화 : 02-543-1100 | 이메일 : mano_ps@naver.com

[보기]